
Nejnovější články
SDF ( Silver Diamine Fluorid)
VYSUŠIT - POTŘÍT - ODEJÍTTak jednoduše je prezentováno použití SDF na zastavení zubního kazu u dětí.Asi před 50.lety začali zubaři...
více >>MIH ( Molar Incisor Hypomineralisation)
Zoubky se Johance prořezali už zkažené, je to vůbec možné?MIH - Molar Incisor HypomineralisationTato zubní diagnóza u dětí byla stanovena...
více >>HSPM (Hypomineralised Second Primary Molars)
Předčasný porod, nízká porodní hmotnost a časté nemoci v prvních 3 letech, horečky a zápaly plic můžou mít vliv na...
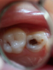
více >>Zachraň mléčnou pětku: 3.díl kaz na žvýkací plošce
Zubní kaz je nejčastější chronické infekční onemocnění u dětí. Mikroorganismus, který se nejvíc spojuje s tímto infekčním onemocněním je bakterie,...
více >>



